How HealthyStart® Can Improve Your Child’s Health
Make your child’s health a priority!
Better Sleep
The HealthyStart appliances open the airway and allow for maximum airflow, allowing children to sleep deeper and more relaxed (without all the snoring, nightmares and bedwetting).
Improve Grades
Better sleep plays a fundamental role in a child’s health. By opening the airway and allowing for the most restful sleep possible, children have the ability to be their most successful selves.
Increase Focus
Quality sleep improves memory, executive function and problem-solving during childhood. A person who is sleep-deprived cannot focus properly, and continuous improper sleep has long-term effects on a child’s health and focus.
Improve Behavior
HealthyStart improves the behavior of children by allowing for maximum airflow and non-interrupted sleep. Quality sleep improves behavior during childhood and allows them to be the healthiest and happiest versions of themselves possible.
Straighten Teeth
The HealthyStart System promotes the natural growth of teeth into their correct alignments. Unlike many clear aligners, HealthyStart appliances are completely non-invasive and work with the natural eruption of teeth.
Develop Jaw
Our appliances aid in opening the airway and shifting the jaw forward, all while straightening teeth and guiding them into their correct alignments. Regular clear aligners do not address the underdeveloped jaw and force teeth into alignment.
A
To A Happy Life
Address symptoms of sleep disordered breathing
Develop the jaw and airway
Promote nasal breathing
Straighten teeth without braces
Correct tongue thrust
Position tongue properly
Eliminate oral habits, such as finger sucking and thumb sucking
Correct dental conditions, such as overbite, overjet, open-bite, crossbite, crowded teeth,crooked teeth and gummy smile
Early Orthodontic Treatment is Crucial
ADD/ADHD
Chronic Allergies
Mouth Breathing
Restless Sleep
Nightmares
Snoring
Arrested Growth
Lower IQ
Aggressive Behavior
Crooked Teeth
Bedwetting
Dark Circles
Irritability
Headaches
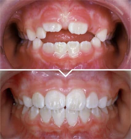
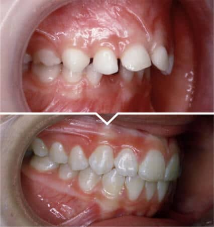
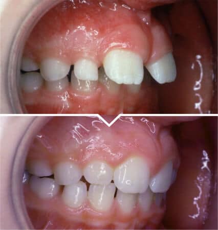
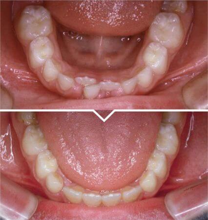
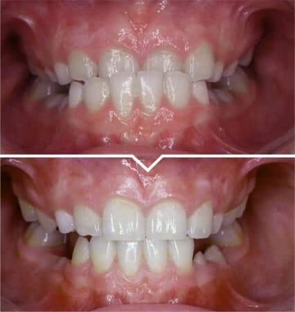
Before & After Cases
Real Patients. Real Results.
Lower Crowding Correction
Open Bite Correction
Underdeveloped Jaw Correction
Overjet Correction
Overbite Correction
Class III Correction
Compromised vs. Developed Airway
What Our Patients Say About Us
People From Everywhere Love Us!
Dental Insurance Options Available
We know that managing insurance can seem confusing. That’s why our trusted dentist and the team take the stress off your shoulders by filing and tracking claims on your behalf. We proudly accept most major insurance plans, including Cigna and Delta Dental, to maximize your benefits at every visit. All we ask is that you bring your insurance card, and we will take care of the rest so you can focus on your smile, not the paperwork.
